Developing a validated, customizable framework for photon-counting CT that enables efficient large-scale synthetic multi-energy data generation across detector materials, geometries, and acquisition protocols for developmental, pre-clinical, and clinical scanners.
Modeling Photon-Counting CT Scanners

Utility of Virtual DukeCounter Scanners

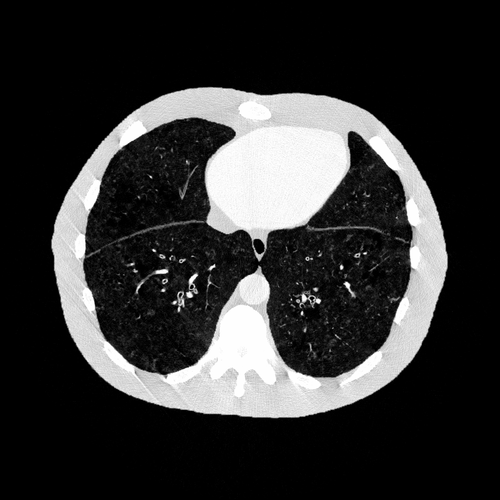
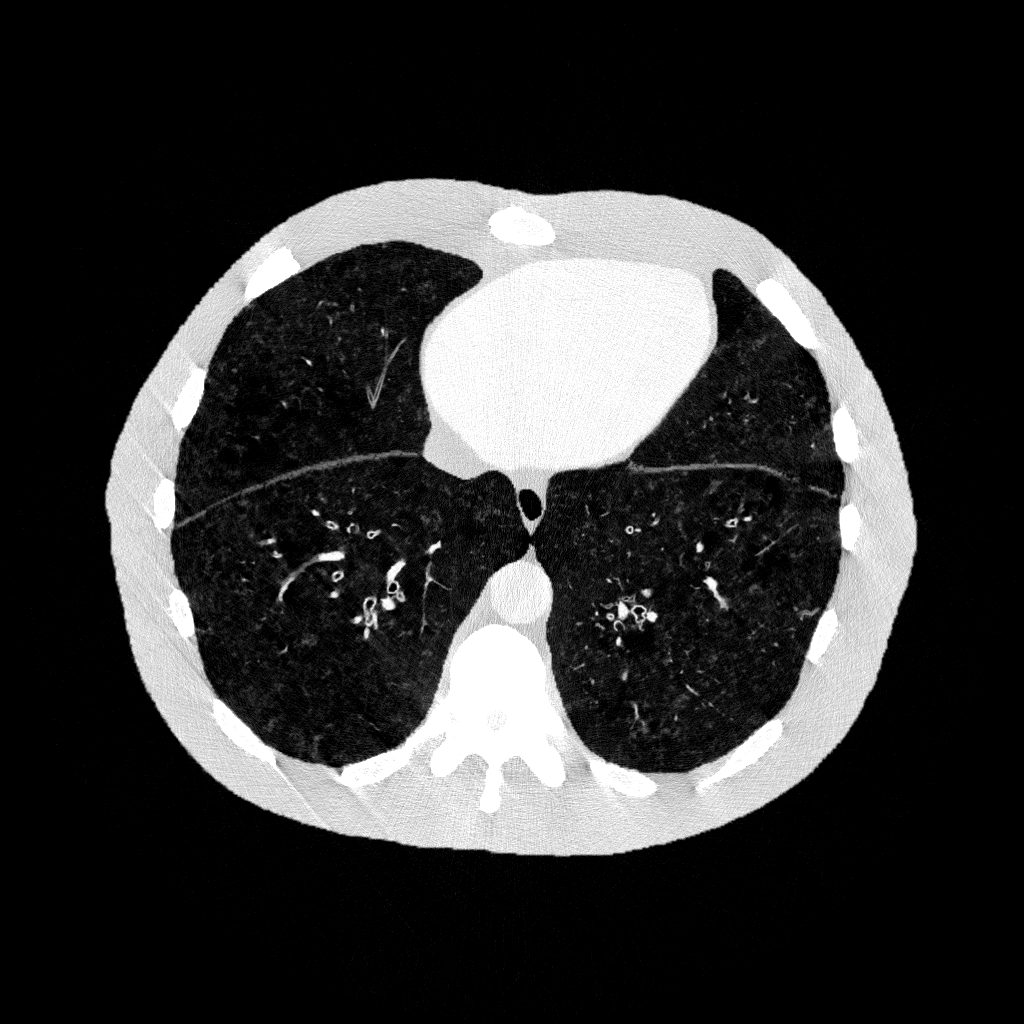
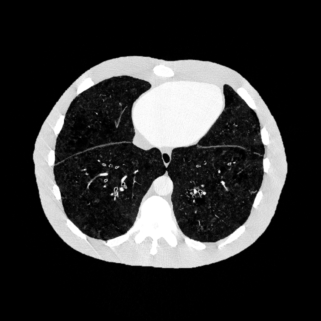
Example datasets: axial cross-sectional 3D CT images of a digital human phantom with COPD, generated using DukeCounter photon-counting CT scanners
Images from CdTe-based DukeCounter Scanner

Images from CZT-based DukeCounter Scanner

Images from GaAs-based DukeCounter Scanner

Images from Si-based DukeCounter Scanner

Citation
Bhattarai M, Panta RK, Segars WP, Abadi E, Samei E. Development of a customizable model for spectral photon-counting detector CT. Med Phys. 2025; 52:e70195. https://doi.org/10.1002/mp.70195